Live Blood Analysis

Analisis Darah Langsung - Metode pemeriksaan untuk melihat kondisi sel darah secara langsung dan mendeteksi ketidakseimbangan dalam tubuh

Marhaban Ya Ramadhan 1447 H • Selamat Menunaikan Ibadah Puasa • Bulan Penuh Berkah dan Rahmat • Perbanyak Amal Ibadah • Ramadhan Kareem • Marhaban Ya Ramadhan 1447 H • Selamat Menunaikan Ibadah Puasa • Bulan Penuh Berkah dan Rahmat • Perbanyak Amal Ibadah • Ramadhan Kareem •
Pengertian

Apa itu Live Blood Analysis?

Live Blood Analysis (LBA) atau Analisis Darah Langsung adalah metode pemeriksaan yang menggunakan mikroskop medan gelap (darkfield microscopy) untuk mengamati sel darah hidup secara langsung tanpa proses pewarnaan.

Setetes darah dari ujung jari ditempatkan di bawah mikroskop dan diamati dalam kondisi hidup. Hal ini memungkinkan praktisi untuk melihat kondisi sel darah merah, sel darah putih, plasma, serta mendeteksi adanya ketidakseimbangan seperti gangguan pencernaan, stres oksidatif, kelebihan asam, toksin, jamur, bakteri, dan parasit yang dapat mempengaruhi kesehatan.

Mengapa Penting

Pentingnya Live Blood Analysis

Memahami mengapa pemeriksaan LBA sangat bermanfaat untuk kesehatan Anda

Melihat Kondisi Darah Secara Langsung

LBA memungkinkan kita melihat sel darah merah, sel darah putih, dan plasma dalam keadaan hidup dan bergerak, memberikan gambaran nyata tentang kondisi kesehatan saat itu juga.

Deteksi Dini Gangguan Kesehatan

Dapat mendeteksi ketidakseimbangan seperti stres oksidatif, kelebihan asam, gangguan pencernaan, toksin, jamur, bakteri, dan parasit sebelum berkembang menjadi penyakit serius.

Evaluasi Efektivitas Terapi

Memantau perkembangan kondisi kesehatan setelah menjalani pengobatan, perubahan pola makan, atau terapi lainnya dengan melihat perubahan pada sel darah.

Macam-macam Temuan

Apa yang Dapat Dilihat dalam Live Blood Analysis?

Berbagai kondisi dan ketidakseimbangan yang dapat dideteksi melalui pemeriksaan LBA

Sel Darah Normal
#1

Sel Darah Normal

Sel darah merah sehat memiliki permukaan luas untuk membawa oksigen dan nutrisi, sehingga oksigen & nutrisi bisa dengan cepat dan efektif diedarkan ke seluruh tubuh.
Berbentuk bulat
Ukurannya sama
Terpisah-pisah
Bergerak bebas
Jumlah sel darah merah lebih banyak dari pada sel darah putih
Tidak membentuk rantai

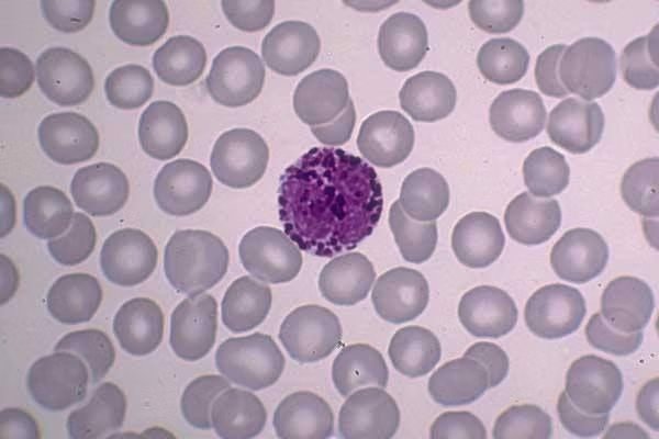
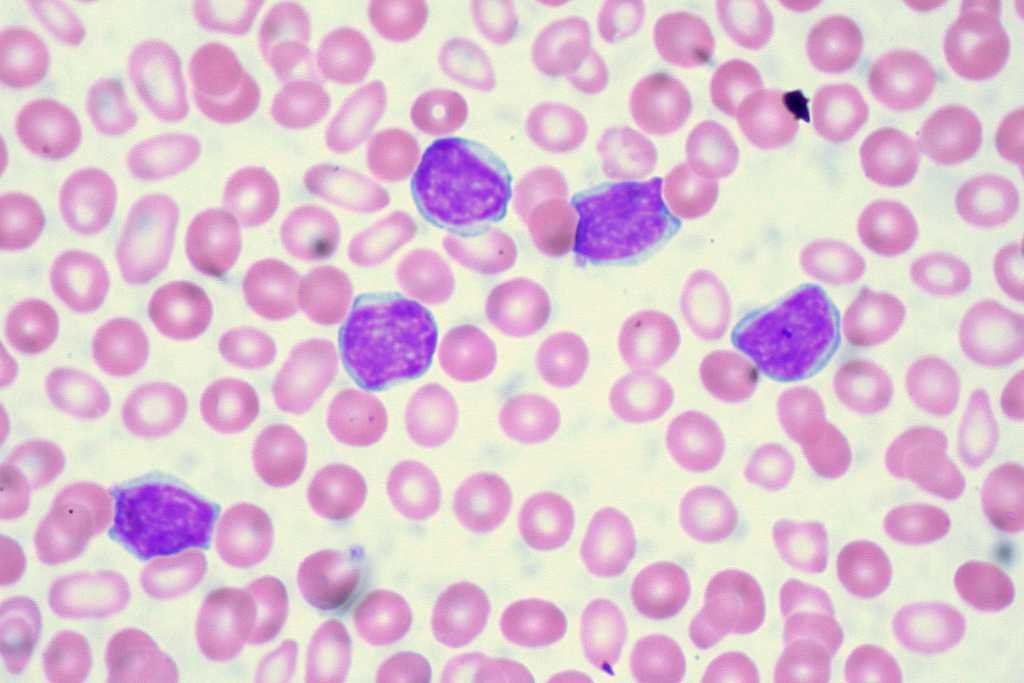
Sel darah Putih Normal
Sel darah putih terdapat 1 atau 2 sel pada setiap 500 – 700 sel darah merah.
Sel darah putih berfungsi untuk melindungi dan sebagai pertahanan tubuh melawan infeksi dan akan membunuh sel yang bermutasi.
Sel darah putih mempunyai banyak bentuk dan aktif bergerak. Dalam keadaan normal, di sekitarnya tidak terdapat parasit, bakteri, bekuan darah ataupun massa lainnya.
Sel darah putih terbagi dalam 5 jenis sel darah putih yaitu Netrofil, Eosinofil, Basofil, Monasit, Limfosit.
Sel Darah Putih
#2

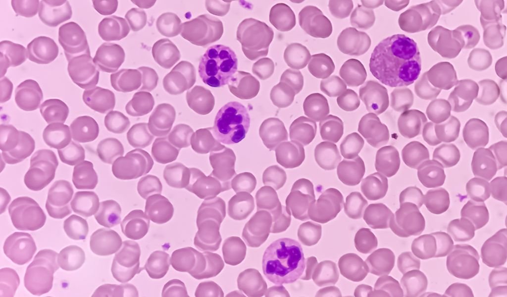
Netrofil

Netrofil bersifat fagositasis yaitu memakan mikroorganisme asing seperti bakteri. Netrofil akan bertambah bila ada proses peradangan, kelelahan fisik berlebihan, penyuntikan epiniprin (pemacu kerja jantung). Netrofil juga sering terlihat pada kasus anemia pernicious, indikasi kekurangan atau tidak terserapnya vitamin B12 dan asam folat dan juga terjadi karena kelainan bawaan serta rendahnya fungsi kelenjar timus.
NETROPENIA adalah menurunnya jumlah netrofil yang signifikan, yang disebabkan penggunaan obat mielosupresif (menekan sumsum tulang belakang), kemotherapi, konsumsi obat analgesik dalam waktu lama, antibiotik dan antihistamin.
Hal ini ditandai dengan:
Rasa tidak nyaman
Lemah
Pusing
Sakit otot
Luka pada selaput mukosa
Demam
Denyut jantung berlebihan
Plasma Darah
#3

Eosinofil

Eosinofil berfungsi sebagai antigen dan antibody. Eosinofil akan bertambah pada penderita asthma, reaksi obat-obatan, adanya parasit tertentu, keadaan alergi, termasuk alergi makanan, kerusakan tulang, menstruasi, berbagai macam iritasi atau inflamasi, arthritis dan penyakit degeneratif, kanker.
keluhan:
Kehilangan berat badan
Demam
berkeringat di malam hari
Membengkaknya limpa
Tergangguanya paru-paru dan jantung
Plasma Darah
#4

Basofil

Basofil mengandung berbagai enzim, platelet/trombosit, heparin / pengencer darah dan histamin. Basofil sangat berhubungan dengan proses alergi atau sensifitas terhadap makanan atau lingkungan. Basofil melepaskan mediator kimia untuk membantu darah dan sangat berguna dalam berbagai keadaan cedera supaya tidak kehilangan banyak darah.
Monosit
#5

Monosit

Monosit mempunyai peran sangat penting bagi tubuh, untuk sekresi enzim, kematangan sell, berinteraksi kompleks dengan immunogens (partikel dan unsur penting protein dari sistem imunitas). Bentuknya lebih besar dari netrofil dan memiliki 1 inti. Monosit memiliki fungsi fagosit yaitu menyingkirkan zat-zat kontaminan, sel-sel yang cedera dan mati dan mikroorganisme patogenik.
Limfosit
#6

Limfosit

Limfosit terbagi menjadi 2 yaitu Limfosit T sebanyak 75% dan Limfosit B sebanyak 25%. Dimana Limfosit T bertanggungjawab atas respon kekebalan selular melalui pembentukan sel yang reaktif antigen dan juga berfungsi menjinakkan radikal bebas dalam aliran darah maupun dalam kelenjar limfatik. Sedangkan Limfosit B berfungsi untuk menghasilkan antibodi immunoglobulin.
Sel ini meningkat dalam darah pada pasien dengan kondisi penyakit serius (penyakit AIDS), stres limfatik, toksin, narkoba dan residu obat-obatan kimia yang mengandung toxin.
Sel Plasma
#7

Sel Plasma

Sel Plasma terbentuk dari respon patologis pada limfosit B setelah mengalami aktifasi. Ukuran sel plasma paling kecil diantara sel darah putih lainnya, tampak keabu-abuan, terdapat butiran dalam cairannya, intinya berbentuk bulat seperti telur, sedikit cekung letaknya di tengah / di tepi sel dan kromatinnya agak padat. Jika sel plasma bertambah banyak berarti belakangan ini terinfeksi virus atau infeksi kronis misalnya TBC, Hepatitis yang menular dan sifilis bawaan.
Sel ini meningkat dalam darah pada pasien dengan kondisi penyakit serius (penyakit AIDS), stres limfatik, toksin, narkoba dan residu obat-obatan kimia yang mengandung toxin.
Sel Darah Merah Rantai Pendek
#8

Sel Darah Merah Rantai Pendek

Kurang aktif & darah kental tingkat ringan
3-5 sel darah merah membentuk seuntai rantai
Disebabkan kelainan protein
Sel darah merah perlahan kehilangan energi
Sel Darah Merah Rantai Panjang
#9

Sel Darah Merah Rantai Panjang

Kurang aktif & darah kental tingkat menengah
Darah kental, pada dasarnya sel darah merah telah kehilangan energi
Disebabkan metabolisme protein yang kacau permukaan sel darah merah yang efektif membawa oksigen berkurang drastis sehingga sirkulasi oksigen terhambat. Jika kondisi ini tidak segera diperbaiki, maka penderita akan cepat merasa lelah, lemah, sering ngantuk
Sel Darah Menggumpal
#10

Sel Darah Menggumpal

Kurang aktif & darah kental tingkat berat
Disebabkan kadar lemak tinggi
Sel darah merah sama sekali kehilangan energi, tidak saja membatasi sirkulasi oksigen tapi juga mengurangi jumlah sirkulasi darah melalui pembuluh darah halus. Jika tidak segera diperbaiki, maka akan mudah membentuk gumpalan darah yang besar.
Sel Darah MERAH REULEOU
#11

Sel Darah MERAH REULEOU

Sel darah merah yang menggulung dan menyerupai gundukan coin.
Bentuk sel darah merah menjadi sangat tidak jelas.

Penyebab darah REULEOU
Banyak mengkonsumsi protein hewani.
Darah sangat banyak racun, yaitu dari faktor stres, kopi, rokok, daging, minyak.
Kurang minum air putih.
Sering kesulitan mencerna protein.

Keluhan yang dirasakan:
Tubuh lemah.
Nafas pendek karena sel darah merah tidak maksimal membawa oksigen ke jantung.
Tangan dan kaki dingin oleh karena sirkulasi darah yang sangat buruk.
Sering terjadi kram dan kesemutan.

Pembentukan Reuleou yang sangat banyak akan menyebabkan:
Kerusakan aliran darah pada pembuluh darah kecil / Arteri sehingga sel darah merah tidak bisa melakukan pertukaran CO2 dengan O2 akibatnya terjadi Hypoxia dan Acidosis.

Rouleau sering terdapat pada penderita:
Arthritis, diabetes, kematian otot jantung karena kekurangan aliran darah dan oksigen, pasien yang sering minum alkohol, alergi, infeksi, akibat benturan keras.
Protein Linkage
#12

Protein Linkage

Protein Linkage merupakan tanda awal perlengketan sel darah merah dan jika tidak diperbaiki dari awal, dapat berlanjut menjadi rouleau. Merupakan tanda awal kelebihan konsumsi protein / protein yang tidak bisa tercerna dengan sempurna. Ketika sel mulai membentuk batang bersama itu merupakan tanda awal kesulitan jantung untuk memompa darah ke pembuluh vena dan pembuluh arteri
Butiran Lakteal
#13

Butiran Lakteal

Butiran (titik-titik) putih kabur seperti salju yang berada di antara sel darah.
Butiran lacteal terbentuk dari trigliserida, kolesterol, dan lapisan luarnya terbentuk dari phospholipid, kolesterol & lipoprotein.
Dalam jumlah sedikit normal, tapi jika sering terlihat dalam jumlah banyak, berarti fungsi organ tubuh terganggu atau rusak (terutama liver, empedu, limpa, pankreas). Juga bisa disebabkan karena usia tua, struktur makan/minum yang salah, kekurangan enzim tertentu.
Tanda-tanda penyakit hiperlipoprotein, yang bisa menyebabkan jantung koroner, arteriosklerosis, pembengkakan liver & limpa, toleransi glukosa terganggu.
FAQ

Pertanyaan Umum tentang Live Blood Analysis

Tidak. LBA berbeda dengan tes darah konvensional. LBA melihat darah hidup secara langsung tanpa pewarnaan, sedangkan tes laboratorium menggunakan sampel darah kering dengan pewarnaan dan pengawet. LBA memberikan gambaran fungsional dan dinamis, sementara tes laboratorium memberikan data kuantitatif (angka).

Prosedur ini minim rasa sakit. Hanya tusukan kecil di ujung jari dengan lancet steril untuk mengambil setetes darah, seperti saat cek gula darah.

Hasil dapat dilihat langsung saat pemeriksaan berlangsung. Praktisi akan menunjukkan kondisi darah Anda melalui layar monitor dan menjelaskan temuan-temuan yang ada secara real-time.

LBA bukan alat diagnosis medis, melainkan metode skrining untuk melihat ketidakseimbangan dalam tubuh. Hasil LBA dapat menjadi indikasi awal yang perlu ditindaklanjuti dengan pemeriksaan laboratorium konvensional untuk konfirmasi diagnosis.

LBA bermanfaat untuk siapa saja yang ingin mengetahui kondisi kesehatan secara holistik, terutama mereka yang mengalami kelelahan kronis, gangguan pencernaan, alergi, masalah kulit, atau ingin melakukan deteksi dini sebelum penyakit berkembang.

Untuk monitoring kesehatan umum, LBA dapat dilakukan setiap 3-6 bulan sekali. Jika sedang menjalani program terapi atau perubahan gaya hidup, bisa dilakukan lebih sering untuk melihat perkembangan.

Siap Melakukan Live Blood Analysis?

Ketahui kondisi kesehatan Anda dengan melakukan Konsultasikan bersama tenaga ahli kami untuk informasi lebih lanjut.